Zdrowie

Implanty zębów – przeciwwskazania

Implanty zębów to popularne rozwiązanie w stomatologii, które pozwala na odbudowę brakujących zębów. Jednak przed podjęciem decyzji o ich wszczepieniu, należy dokładnie rozważyć różne przeciwwskazania, które mogą wpłynąć na powodzenie zabiegu oraz zdrowie pacjenta. Przede wszystkim istotne jest, aby pacjent był w dobrym stanie zdrowia ogólnego. Osoby cierpiące na schorzenia takie jak cukrzyca, choroby serca czy problemy z krzepnięciem krwi powinny być szczególnie ostrożne. Cukrzyca może wpływać na proces gojenia się ran, co może prowadzić do komplikacji po wszczepieniu implantu. Ponadto, osoby palące papierosy również narażają się na większe ryzyko niepowodzenia zabiegu, ponieważ nikotyna negatywnie wpływa na krążenie krwi i regenerację tkanek. Ważnym czynnikiem jest także stan kości w miejscu wszczepienia implantu.

Czy wiek pacjenta ma znaczenie przy implantach zębowych

Wiek pacjenta jest jednym z czynników, które mogą wpływać na decyzję o wszczepieniu implantów zębowych. W przypadku młodszych pacjentów, zwłaszcza tych, którzy jeszcze nie zakończyli wzrostu kości, lekarze często zalecają odroczenie zabiegu do momentu osiągnięcia pełnej dojrzałości kostnej. Zbyt wczesne wszczepienie implantu u osób młodych może prowadzić do problemów związanych z jego stabilnością oraz dopasowaniem do zmieniającej się struktury szczęki. Z drugiej strony, u starszych pacjentów istnieje większe ryzyko wystąpienia chorób ogólnoustrojowych oraz problemów ze zdrowiem jamy ustnej, co również może wpłynąć na decyzję o przeprowadzeniu zabiegu. Warto jednak zauważyć, że wiek sam w sobie nie jest bezwzględnym przeciwwskazaniem do wszczepienia implantów. Wiele osób w starszym wieku korzysta z tej formy leczenia i odnosi sukcesy dzięki odpowiedniej opiece stomatologicznej oraz dostosowanej terapii.

Jakie inne czynniki mogą wpłynąć na decyzję o implantach

Implanty zębów - przeciwwskazania
Implanty zębów – przeciwwskazania

Decyzja o wszczepieniu implantów zębowych powinna być podejmowana na podstawie wielu czynników, które obejmują zarówno stan zdrowia pacjenta, jak i jego oczekiwania oraz styl życia. Oprócz wcześniej wymienionych przeciwwskazań zdrowotnych, istotne są także aspekty psychiczne i emocjonalne pacjenta. Osoby z lękiem przed zabiegami chirurgicznymi mogą potrzebować dodatkowego wsparcia psychologicznego lub zastosowania sedacji podczas zabiegu. Również kwestie finansowe mogą mieć znaczenie – implanty zębowe są zazwyczaj droższą opcją w porównaniu do innych metod leczenia braków w uzębieniu, takich jak mosty czy protezy. Pacjenci powinni być świadomi kosztów związanych z całym procesem leczenia oraz ewentualnych dodatkowych wydatków związanych z wizytami kontrolnymi czy materiałami używanymi podczas zabiegu. Istotna jest także higiena jamy ustnej – osoby zaniedbujące codzienną pielęgnację mogą napotykać trudności po wszczepieniu implantu, co może prowadzić do infekcji i innych powikłań.

Jak przygotować się do zabiegu wszczepienia implantów

Przygotowanie do zabiegu wszczepienia implantów zębowych to kluczowy etap, który ma ogromny wpływ na powodzenie całego procesu. Przede wszystkim pacjent powinien odbyć szczegółową konsultację ze stomatologiem lub chirurgiem stomatologicznym, który oceni stan zdrowia jamy ustnej oraz ogólny stan zdrowia pacjenta. W trakcie wizyty lekarz może zalecić wykonanie zdjęć rentgenowskich lub tomografii komputerowej w celu dokładnej analizy struktury kości i planowania zabiegu. Ważne jest również omówienie przyjmowanych leków oraz ewentualnych alergii, które mogą wpłynąć na przebieg operacji. Pacjent powinien być świadomy również konieczności zaprzestania palenia papierosów na pewien czas przed i po zabiegu, aby zwiększyć szanse na pomyślne gojenie się tkanek. Dodatkowo warto zadbać o odpowiednią dietę bogatą w składniki odżywcze wspierające proces regeneracji organizmu.

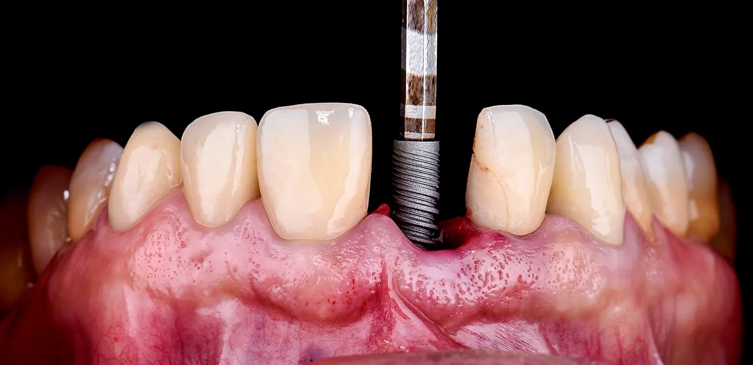
Jakie są etapy procesu wszczepienia implantów zębowych

Proces wszczepienia implantów zębowych składa się z kilku kluczowych etapów, które są niezbędne do osiągnięcia trwałego i estetycznego efektu. Pierwszym krokiem jest dokładna ocena stanu zdrowia pacjenta oraz planowanie zabiegu. Lekarz przeprowadza szczegółowy wywiad, zleca badania diagnostyczne i na ich podstawie tworzy indywidualny plan leczenia. Kolejnym etapem jest sam zabieg chirurgiczny, który zazwyczaj odbywa się w znieczuleniu miejscowym lub ogólnym, w zależności od skomplikowania przypadku oraz preferencji pacjenta. W trakcie zabiegu chirurg wykonuje nacięcie w dziąśle, aby odsłonić kość, a następnie umieszcza implant w odpowiednim miejscu. Po wszczepieniu implantu następuje proces gojenia, który trwa od kilku tygodni do kilku miesięcy. W tym czasie implant integruje się z kością, co jest kluczowe dla jego stabilności. Po zakończeniu procesu gojenia lekarz przystępuje do kolejnego etapu, jakim jest osadzenie korony protetycznej na implancie. Korona jest dostosowywana do koloru i kształtu pozostałych zębów pacjenta, co zapewnia naturalny wygląd uśmiechu.

Jakie są zalety stosowania implantów zębowych

Implanty zębowe oferują wiele korzyści w porównaniu do tradycyjnych metod odbudowy uzębienia, takich jak mosty czy protezy. Jedną z najważniejszych zalet jest ich trwałość – przy odpowiedniej pielęgnacji i regularnych wizytach u stomatologa, implanty mogą służyć przez wiele lat, a nawet całe życie. Dzięki temu pacjenci unikają częstych wymian i napraw, które są charakterystyczne dla innych rozwiązań protetycznych. Kolejną istotną korzyścią jest zachowanie struktury kości szczęki. Implanty działają jak naturalne korzenie zębów, co stymuluje wzrost kości i zapobiega jej zanikanie po utracie zęba. To ma kluczowe znaczenie dla zachowania prawidłowej funkcji żucia oraz estetyki twarzy. Dodatkowo implanty są bardzo komfortowe w użytkowaniu – nie przesuwają się ani nie powodują podrażnień, co często zdarza się w przypadku protez. Pacjenci mogą cieszyć się pełną swobodą podczas jedzenia i mówienia bez obaw o to, że ich uzupełnienie protetyczne może się przesunąć lub wypaść.

Jak dbać o implanty zębowe po ich wszczepieniu

Prawidłowa pielęgnacja implantów zębowych jest kluczowa dla ich długowieczności oraz zdrowia jamy ustnej. Po wszczepieniu implantu pacjent powinien stosować się do zaleceń lekarza dotyczących higieny jamy ustnej. Regularne szczotkowanie zębów co najmniej dwa razy dziennie oraz używanie nici dentystycznej to podstawowe zasady dbania o zdrowie zarówno naturalnych zębów, jak i implantów. Ważne jest także stosowanie płynów do płukania jamy ustnej zawierających antybakteryjne składniki, które pomagają w redukcji bakterii i zapobiegają stanom zapalnym dziąseł wokół implantu. Pacjenci powinni unikać twardych pokarmów oraz nadmiernego obciążania implantu w pierwszych tygodniach po zabiegu, aby dać mu czas na pełną integrację z kością. Regularne wizyty kontrolne u stomatologa są niezbędne do monitorowania stanu implantu oraz wykrywania ewentualnych problemów na wczesnym etapie. Warto również pamiętać o zdrowym stylu życia – unikanie palenia papierosów oraz ograniczenie spożycia alkoholu mają pozytywny wpływ na proces gojenia oraz ogólną kondycję jamy ustnej.

Czy istnieją alternatywy dla implantów zębowych

Choć implanty zębowe są jednym z najskuteczniejszych rozwiązań w przypadku brakujących zębów, istnieją także alternatywy, które mogą być odpowiednie dla niektórych pacjentów. Jednym z najpopularniejszych rozwiązań są mosty protetyczne, które polegają na osadzeniu sztucznych zębów na zdrowych zębach sąsiednich. Mosty mogą być dobrym rozwiązaniem dla osób, które nie chcą przechodzić zabiegu chirurgicznego lub mają przeciwwskazania do wszczepienia implantów. Należy jednak pamiętać, że mosty wymagają szlifowania zdrowych zębów sąsiednich, co może wpłynąć na ich długowieczność i zdrowie jamy ustnej. Inną opcją są protezy ruchome, które można łatwo wyjmować i zakładać. Protezy mogą być stosowane zarówno jako częściowe uzupełnienia brakujących zębów, jak i pełne protezy dla osób całkowicie bezzębnych. Choć protezy są tańszą opcją niż implanty, mogą wiązać się z pewnymi niedogodnościami, takimi jak dyskomfort czy konieczność częstego dopasowywania ich do zmieniającej się struktury szczęki.

Jakie nowinki technologiczne wpływają na rozwój implantologii

Rozwój technologii ma ogromny wpływ na dziedzinę implantologii stomatologicznej, przynosząc innowacyjne rozwiązania poprawiające efektywność zabiegów oraz komfort pacjentów. Jednym z najbardziej znaczących postępów jest zastosowanie technologii cyfrowej w planowaniu zabiegów wszczepienia implantów. Dzięki tomografii komputerowej 3D lekarze mogą dokładnie ocenić strukturę kości pacjenta oraz precyzyjnie zaplanować miejsce wszczepienia implantu. To pozwala na minimalizację ryzyka powikłań oraz zwiększenie skuteczności zabiegu. Kolejnym istotnym osiągnięciem jest rozwój materiałów używanych do produkcji implantów – nowoczesne materiały biokompatybilne sprzyjają lepszemu osadzaniu się implantu w kości oraz zmniejszają ryzyko odrzutu przez organizm pacjenta. Ponadto techniki regeneracji kości pozwalają na skuteczne uzupełnianie ubytków kostnych przed wszczepieniem implantu, co otwiera nowe możliwości dla pacjentów wcześniej uznawanych za niekwalifikujących się do tego typu leczenia.