Implanty dentystyczne w Warszawie to nowoczesne rozwiązanie, które zyskuje coraz większą popularność wśród pacjentów. Dzięki nim można skutecznie przywrócić utracone zęby, co ma ogromny wpływ na jakość życia. Przede wszystkim, implanty pozwalają na odbudowę funkcji żucia, co jest niezwykle istotne dla prawidłowego odżywiania. Dodatkowo, estetyka uśmiechu również ulega znaczącej poprawie, co wpływa na pewność siebie pacjentów. Warto zaznaczyć, że implanty są trwałe i mogą służyć przez wiele lat, a ich pielęgnacja nie różni się od dbania o naturalne zęby. W Warszawie istnieje wiele klinik oferujących kompleksowe usługi związane z implantologią, co sprawia, że pacjenci mają dostęp do najnowszych technologii oraz wykwalifikowanego personelu. Wybierając implanty dentystyczne, warto zwrócić uwagę na doświadczenie lekarza oraz opinie innych pacjentów, co może pomóc w podjęciu właściwej decyzji.
Jak przebiega proces zakupu i wszczepienia implantów dentystycznych w Warszawie
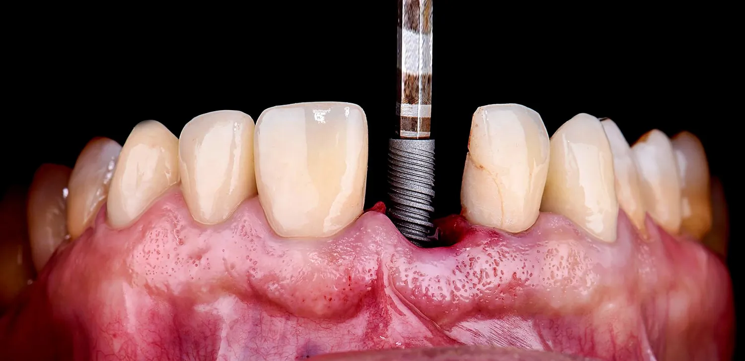
Proces zakupu i wszczepienia implantów dentystycznych w Warszawie jest skomplikowanym przedsięwzięciem, które wymaga staranności i odpowiedniego przygotowania. Na początku pacjent powinien umówić się na konsultację ze specjalistą, który oceni stan zdrowia jamy ustnej oraz przeprowadzi niezbędne badania diagnostyczne. W trakcie wizyty lekarz omówi dostępne opcje leczenia oraz zaproponuje najbardziej odpowiednie rozwiązanie dla danego przypadku. Po zaakceptowaniu planu leczenia następuje etap przygotowawczy, który może obejmować leczenie kanałowe lub usunięcie zębów, jeśli zajdzie taka potrzeba. Następnie przystępuje się do wszczepienia implantu, co odbywa się w znieczuleniu miejscowym. Zabieg ten polega na umieszczeniu tytanowego implantu w kości szczęki lub żuchwy. Po wszczepieniu implantu konieczny jest czas gojenia, który może trwać od kilku tygodni do kilku miesięcy. W tym czasie implant integruje się z kością, co jest kluczowe dla jego stabilności.
Jakie są najczęstsze pytania dotyczące implantów dentystycznych w Warszawie

Wiele osób zastanawia się nad różnymi aspektami związanymi z implantami dentystycznymi w Warszawie. Jednym z najczęściej zadawanych pytań jest to, czy każdy może być kandydatem do zabiegu wszczepienia implantu. Odpowiedź brzmi: większość dorosłych pacjentów kwalifikuje się do tego typu leczenia, jednak kluczowe są badania diagnostyczne oraz ocena stanu zdrowia jamy ustnej. Kolejnym istotnym zagadnieniem jest koszt zabiegu – ceny mogą się znacznie różnić w zależności od kliniki oraz użytych materiałów. Pacjenci często pytają także o czas trwania całego procesu leczenia; zazwyczaj obejmuje on kilka wizyt i może rozciągać się na kilka miesięcy. Ważnym pytaniem jest również kwestia bólu – większość pacjentów zgłasza jedynie niewielki dyskomfort po zabiegu, który można złagodzić środkami przeciwbólowymi. Niektórzy zastanawiają się także nad trwałością implantów; przy odpowiedniej pielęgnacji mogą one służyć przez wiele lat lub nawet całe życie.
Jak dbać o implanty dentystyczne po ich wszczepieniu w Warszawie
Dbanie o implanty dentystyczne po ich wszczepieniu w Warszawie jest kluczowe dla zapewnienia ich długotrwałej funkcjonalności oraz estetyki. Po zakończeniu procesu gojenia pacjent powinien stosować się do zaleceń lekarza dotyczących higieny jamy ustnej. Regularne szczotkowanie zębów oraz nitkowanie to podstawowe czynności, które pomagają utrzymać czystość wokół implantu i zapobiegają gromadzeniu się płytki nazębnej. Warto również inwestować w dodatkowe akcesoria do higieny jamy ustnej, takie jak irygatory czy szczoteczki międzyzębowe, które umożliwiają dokładniejsze oczyszczanie trudno dostępnych miejsc. Ponadto regularne wizyty kontrolne u stomatologa są niezbędne do monitorowania stanu zdrowia implantu oraz otaczających go tkanek. Lekarz może zalecić profesjonalne czyszczenie oraz ocenę stanu zdrowia jamy ustnej przynajmniej raz na pół roku. Ważnym aspektem jest także unikanie szkodliwych nawyków takich jak palenie papierosów czy nadmierna konsumpcja alkoholu, które mogą negatywnie wpłynąć na proces gojenia i trwałość implantu.
Jakie są najnowsze technologie w implantologii dentystycznej w Warszawie
Najnowsze technologie w implantologii dentystycznej w Warszawie znacząco wpłynęły na jakość i efektywność zabiegów wszczepienia implantów. W ostatnich latach rozwój technologii cyfrowych, takich jak skanowanie 3D oraz komputerowe planowanie zabiegów, zrewolucjonizował sposób, w jaki lekarze podchodzą do leczenia pacjentów. Dzięki skanowaniu 3D możliwe jest dokładne odwzorowanie struktury jamy ustnej pacjenta, co pozwala na precyzyjne zaplanowanie lokalizacji implantu oraz jego kształtu. Tego rodzaju innowacje minimalizują ryzyko powikłań oraz zwiększają komfort pacjenta podczas zabiegu. Kolejnym ważnym osiągnięciem jest zastosowanie materiałów biokompatybilnych, które lepiej integrują się z tkankami kostnymi i zmniejszają ryzyko odrzutu implantu. W Warszawie wiele klinik korzysta także z technologii CAD/CAM, która umożliwia szybkie i precyzyjne wykonanie koron protetycznych, co skraca czas oczekiwania na zakończenie leczenia. Warto również zwrócić uwagę na rozwój technik regeneracji kości, które pozwalają na wszczepienie implantów u pacjentów z niedostateczną ilością tkanki kostnej.
Jakie są różnice między implantami a tradycyjnymi protezami w Warszawie
Różnice między implantami a tradycyjnymi protezami w Warszawie są znaczące i mają wpływ na wybór metody leczenia przez pacjentów. Implanty dentystyczne są stałym rozwiązaniem, które polega na wszczepieniu tytanowego implantu w kości szczęki lub żuchwy, co zapewnia stabilność i naturalny wygląd zębów. Z kolei tradycyjne protezy są ruchomymi uzupełnieniami, które można łatwo wyjmować z jamy ustnej. Protezy mogą być mniej komfortowe dla niektórych pacjentów, ponieważ mogą powodować dyskomfort podczas jedzenia czy mówienia oraz mogą wymagać częstszego dostosowywania. W przypadku implantów nie ma potrzeby stosowania klejów ani innych środków mocujących, co zwiększa wygodę użytkowania. Ponadto implanty lepiej wspierają zdrowie kości, ponieważ stymulują ich wzrost poprzez działanie sił żucia, co zapobiega ich zanikanie. Warto również zauważyć, że czas życia implantów jest znacznie dłuższy niż protez; przy odpowiedniej pielęgnacji mogą one służyć przez wiele lat lub nawet całe życie.
Jakie są opinie pacjentów o implantach dentystycznych w Warszawie
Opinie pacjentów o implantach dentystycznych w Warszawie są przeważnie pozytywne i świadczą o wysokiej jakości usług oferowanych przez kliniki stomatologiczne. Wielu pacjentów podkreśla znaczną poprawę komfortu życia po wszczepieniu implantów; możliwość jedzenia ulubionych potraw bez obaw o ruchomość protez to dla wielu osób ogromna zaleta. Użytkownicy często zwracają uwagę na estetykę – implanty wyglądają bardzo naturalnie i trudno je odróżnić od prawdziwych zębów, co wpływa na pewność siebie i samopoczucie psychiczne. Pacjenci cenią sobie także profesjonalizm lekarzy oraz nowoczesne podejście do leczenia; wiele osób chwali sobie dokładność diagnostyki oraz indywidualne podejście do każdego przypadku. Niektórzy pacjenci dzielą się swoimi obawami przed zabiegiem, jednak po jego zakończeniu zazwyczaj przyznają, że strach był nieuzasadniony.
Jakie są koszty związane z implantami dentystycznymi w Warszawie
Koszty związane z implantami dentystycznymi w Warszawie mogą się znacznie różnić w zależności od wielu czynników, takich jak lokalizacja kliniki, doświadczenie lekarza czy zastosowane materiały. Średni koszt jednego implantu dentystycznego oscyluje wokół kilku tysięcy złotych, jednak warto pamiętać, że cena ta może obejmować różne etapy leczenia – od konsultacji przez zabieg wszczepienia aż po wykonanie korony protetycznej. Dodatkowo niektóre kliniki oferują pakiety promocyjne lub możliwość rozłożenia płatności na raty, co może ułatwić finansowanie tego typu leczenia. Należy również uwzględnić ewentualne dodatkowe koszty związane z badaniami diagnostycznymi czy preparacją kości, jeśli zajdzie taka potrzeba. Warto porównywać oferty różnych klinik oraz konsultować się ze specjalistami przed podjęciem decyzji o wyborze konkretnego miejsca leczenia.
Jakie są przeciwwskazania do wszczepienia implantów dentystycznych w Warszawie
Przeciwwskazania do wszczepienia implantów dentystycznych w Warszawie mogą być różnorodne i powinny być dokładnie ocenione przez specjalistę przed rozpoczęciem leczenia. Jednym z głównych czynników ograniczających możliwość przeprowadzenia zabiegu jest stan zdrowia pacjenta; osoby cierpiące na choroby przewlekłe takie jak cukrzyca czy choroby serca powinny być szczególnie ostrożne i skonsultować się ze swoim lekarzem przed podjęciem decyzji o wszczepieniu implantu. Ponadto palenie tytoniu może negatywnie wpłynąć na proces gojenia oraz zwiększyć ryzyko powikłań pooperacyjnych. Ważnym aspektem jest także stan kości; niewystarczająca ilość tkanki kostnej może uniemożliwić prawidłowe osadzenie implantu, dlatego często konieczne jest wcześniejsze przeprowadzenie zabiegów regeneracyjnych. Również osoby przyjmujące leki immunosupresyjne powinny zachować ostrożność; osłabiony układ odpornościowy może zwiększać ryzyko infekcji po zabiegu.
Jak długo trwa proces gojenia po wszczepieniu implantów dentystycznych w Warszawie
Czas trwania procesu gojenia po wszczepieniu implantów dentystycznych w Warszawie może być różny w zależności od indywidualnych predyspozycji pacjenta oraz specyfiki przeprowadzonego zabiegu. Zazwyczaj proces ten trwa od kilku tygodni do kilku miesięcy; kluczowym etapem jest integracja implantu z kością szczęki lub żuchwy, która może trwać od trzech do sześciu miesięcy. W tym czasie ważne jest przestrzeganie zaleceń lekarza dotyczących higieny jamy ustnej oraz unikania nadmiernego obciążania implantu. Po zakończeniu procesu gojenia następuje etap mocowania korony protetycznej; czas oczekiwania na wykonanie korony również może wynosić kilka tygodni, w zależności od technologii stosowanej przez klinikę oraz indywidualnych potrzeb pacjenta. Warto zaznaczyć, że niektóre nowoczesne metody pozwalają na przyspieszenie procesu gojenia dzięki zastosowaniu biomateriałów czy technik regeneracyjnych.








