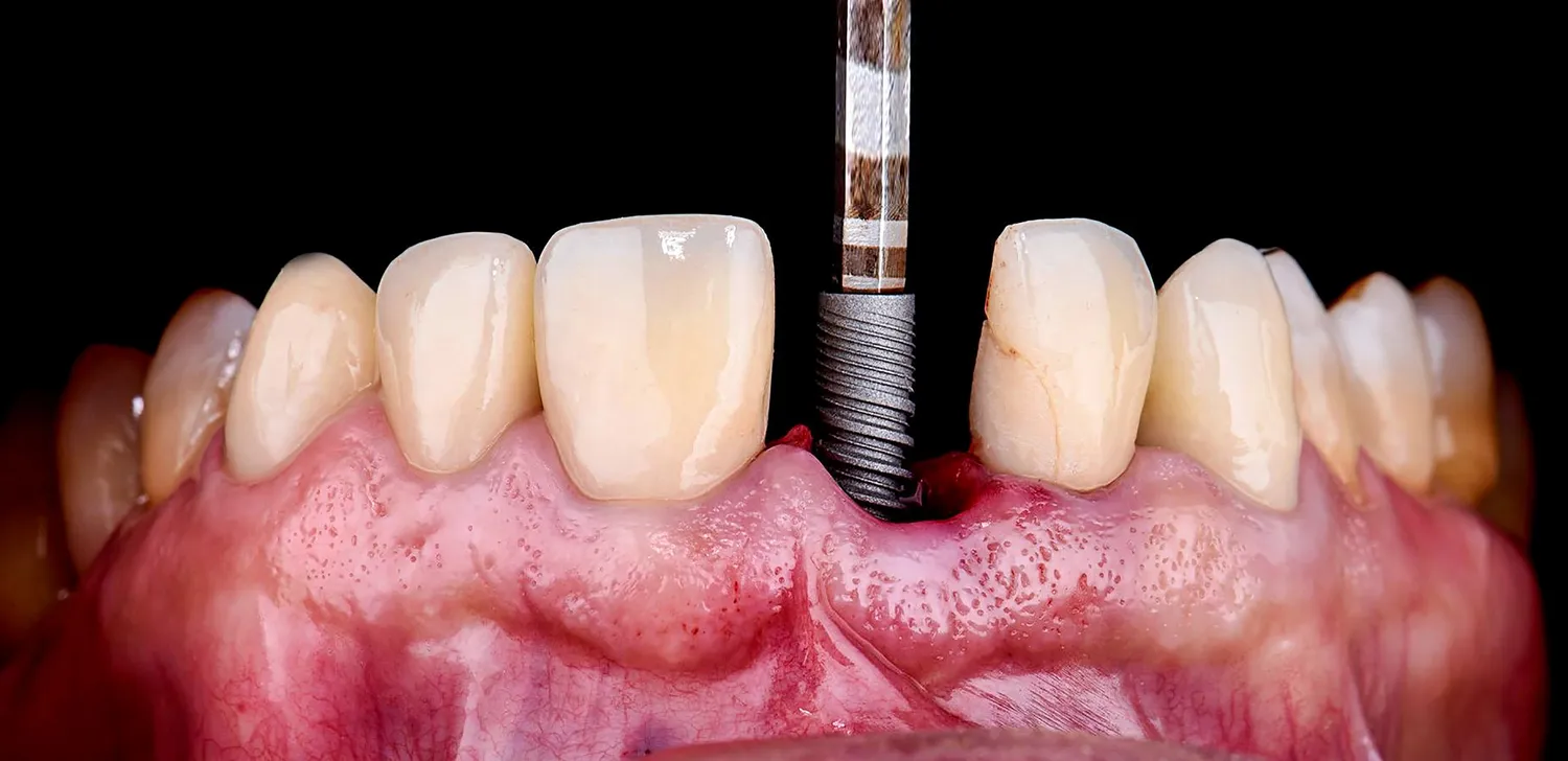
Implanty zębowe to nowoczesne rozwiązanie stomatologiczne, które pozwala na odbudowę brakujących zębów. W ich skład wchodzi tytanowy słup, który jest wszczepiany w kość szczęki lub żuchwy, a następnie pokrywany koroną protetyczną, co daje efekt naturalnego zęba. Proces wszczepienia implantu rozpoczyna się od dokładnej analizy stanu zdrowia pacjenta oraz przeprowadzenia zdjęć rentgenowskich, które pozwalają na ocenę gęstości kości. Po zakwalifikowaniu do zabiegu następuje jego realizacja, która odbywa się w znieczuleniu miejscowym. Po wszczepieniu implantu konieczny jest czas na integrację z kością, co może trwać od kilku tygodni do kilku miesięcy. W tym czasie pacjent może korzystać z tymczasowych rozwiązań protetycznych. Po zakończeniu procesu gojenia można przystąpić do wykonania korony, co kończy cały proces odbudowy uzębienia.
Jakie są zalety implantów zębowych w porównaniu do innych metod?
Implanty zębowe oferują szereg korzyści w porównaniu do tradycyjnych protez czy mostów. Przede wszystkim zapewniają one stabilność i komfort użytkowania, ponieważ są trwale osadzone w kości, co eliminuje ryzyko przesuwania się czy wypadania podczas jedzenia lub mówienia. Dodatkowo implanty pomagają zachować naturalny kształt twarzy oraz zapobiegają utracie kości, co jest częstym problemem po utracie zębów. W przeciwieństwie do mostów, które wymagają szlifowania zdrowych zębów sąsiednich, implanty nie wpływają na ich integralność. Kolejną zaletą jest łatwość w utrzymaniu higieny jamy ustnej; implanty można czyścić jak naturalne zęby, co ułatwia codzienną pielęgnację. Ponadto implanty zębowe mają długoterminową trwałość, często przekraczającą 10-15 lat, a nawet dłużej przy odpowiedniej opiece stomatologicznej.
Jakie są koszty związane z wszczepieniem implantów zębowych?

Koszty związane z wszczepieniem implantów zębowych mogą znacznie się różnić w zależności od wielu czynników. Przede wszystkim cena zależy od lokalizacji gabinetu stomatologicznego oraz doświadczenia lekarza prowadzącego zabieg. W Polsce ceny za jeden implant wahają się zazwyczaj od kilku do kilkunastu tysięcy złotych, a dodatkowe koszty mogą obejmować badania diagnostyczne, materiały użyte do wykonania korony oraz ewentualne zabiegi przygotowawcze, takie jak podniesienie dna zatoki czy augmentacja kości. Ważne jest również uwzględnienie kosztów wizyt kontrolnych oraz regularnych przeglądów stomatologicznych po zakończeniu leczenia. Warto zaznaczyć, że wiele klinik oferuje różne formy finansowania zabiegów, takie jak raty czy kredyty medyczne, co może ułatwić dostęp do tego typu leczenia dla większej liczby pacjentów.
Jak długo trwa proces leczenia implantami zębowymi?
Proces leczenia implantami zębowymi jest wieloetapowy i jego czas trwania zależy od indywidualnych warunków pacjenta oraz skomplikowania przypadku. Po pierwszej konsultacji i diagnostyce następuje etap wszczepienia implantu, który zazwyczaj trwa od 1 do 2 godzin i odbywa się w znieczuleniu miejscowym. Po zabiegu konieczny jest czas na gojenie oraz integrację implantu z kością, co może trwać od 3 do 6 miesięcy. W przypadku pacjentów z wystarczającą ilością zdrowej kości proces ten może być szybszy. Po zakończeniu etapu gojenia można przystąpić do wykonania korony protetycznej, co zazwyczaj zajmuje kilka tygodni ze względu na konieczność wykonania odpowiednich prac laboratoryjnych oraz dopasowania korony do indywidualnych potrzeb pacjenta. Cały proces leczenia może więc trwać od kilku miesięcy do roku w zależności od skomplikowania przypadku oraz stanu zdrowia pacjenta.
Jakie są przeciwwskazania do wszczepienia implantów zębowych?
Wszczepienie implantów zębowych, mimo że jest popularnym i skutecznym rozwiązaniem, nie jest odpowiednie dla każdego pacjenta. Istnieje kilka przeciwwskazań, które mogą uniemożliwić przeprowadzenie tego zabiegu. Przede wszystkim, osoby z chorobami ogólnoustrojowymi, takimi jak cukrzyca, osteoporoza czy choroby serca, mogą wymagać szczegółowej oceny przed podjęciem decyzji o wszczepieniu implantu. Ponadto, palenie papierosów znacząco zwiększa ryzyko powikłań oraz obniża skuteczność procesu gojenia, co również może być czynnikiem decydującym. Kolejnym ważnym aspektem jest stan zdrowia jamy ustnej; pacjenci z aktywnymi infekcjami dziąseł lub próchnicą powinni najpierw wyleczyć te problemy, zanim rozważą implanty. Osoby przyjmujące leki immunosupresyjne lub mające problemy z krzepliwością krwi również mogą być narażone na większe ryzyko powikłań pooperacyjnych.
Jakie są alternatywy dla implantów zębowych?
Choć implanty zębowe są jednym z najbardziej efektywnych sposobów na odbudowę brakujących zębów, istnieją także inne opcje leczenia, które mogą być odpowiednie w różnych sytuacjach. Najpopularniejszą alternatywą są mosty protetyczne, które składają się z dwóch koron osadzonych na zdrowych zębach sąsiadujących z luką oraz sztucznego zęba umieszczonego pomiędzy nimi. Mosty są mniej inwazyjne i szybsze w wykonaniu niż implanty, jednak wymagają szlifowania zdrowych zębów. Inną opcją są protezy ruchome, które można łatwo zdjąć i założyć. Protezy są tańsze od implantów, ale mogą być mniej komfortowe i stabilne, co czasami prowadzi do dyskomfortu podczas jedzenia czy mówienia. W przypadku pacjentów młodszych lub tych, którzy nie chcą przechodzić przez zabieg chirurgiczny, można rozważyć także zastosowanie aparatów ortodontycznych w celu przesunięcia pozostałych zębów i zamknięcia luki.
Jak dbać o implanty zębowe po ich wszczepieniu?
Prawidłowa pielęgnacja implantów zębowych jest kluczowa dla ich długowieczności oraz zdrowia jamy ustnej. Po zakończeniu procesu leczenia i osadzeniu korony protetycznej pacjent powinien stosować się do zaleceń lekarza dotyczących higieny jamy ustnej. Należy regularnie szczotkować zęby co najmniej dwa razy dziennie oraz używać nici dentystycznej do czyszczenia przestrzeni międzyzębowych. Warto również stosować płyny do płukania jamy ustnej zawierające antybakteryjne składniki, które pomogą w utrzymaniu zdrowia dziąseł wokół implantu. Regularne wizyty kontrolne u stomatologa są niezbędne do monitorowania stanu zdrowia implantu oraz otaczających tkanek. Lekarz może zalecić dodatkowe zabiegi profilaktyczne takie jak skaling czy piaskowanie, aby usunąć osady nazębne oraz zapobiec chorobom przyzębia. Ważne jest także unikanie twardych pokarmów oraz nawyków takich jak gryzienie paznokci czy otwieranie butelek zębami, które mogą prowadzić do uszkodzenia implantu lub korony.
Jakie są najczęstsze pytania dotyczące implantów zębowych?
Wielu pacjentów ma wiele pytań dotyczących implantów zębowych przed podjęciem decyzji o ich wszczepieniu. Jednym z najczęściej zadawanych pytań jest to, jak długo trwa proces gojenia po zabiegu wszczepienia implantu. Odpowiedź na to pytanie zależy od indywidualnych warunków pacjenta oraz rodzaju zastosowanego implantu, ale zazwyczaj czas ten wynosi od 3 do 6 miesięcy. Inne pytanie dotyczy bólu towarzyszącego zabiegowi; większość pacjentów zgłasza jedynie niewielki dyskomfort po zabiegu, który można złagodzić lekami przeciwbólowymi. Pacjenci często zastanawiają się także nad trwałością implantów; przy odpowiedniej pielęgnacji mogą one służyć przez wiele lat, a nawet całe życie. Warto również zapytać o koszty związane z zabiegiem oraz możliwości finansowania; wiele klinik oferuje różne opcje płatności dostosowane do potrzeb pacjentów.
Jak wybrać odpowiednią klinikę stomatologiczną do wszczepienia implantów?
Wybór odpowiedniej kliniki stomatologicznej do wszczepienia implantów zębowych jest kluczowy dla sukcesu całego procesu leczenia. Przede wszystkim warto zwrócić uwagę na doświadczenie lekarzy specjalizujących się w implantologii; dobrze jest sprawdzić ich kwalifikacje oraz certyfikaty potwierdzające ukończenie szkoleń w tej dziedzinie. Rekomendacje od innych pacjentów mogą być cennym źródłem informacji; warto poszukać opinii w internecie lub zapytać znajomych o ich doświadczenia związane z leczeniem implantologicznym. Kolejnym istotnym aspektem jest wyposażenie kliniki; nowoczesny sprzęt diagnostyczny oraz technologie stosowane podczas zabiegów mogą znacząco wpłynąć na jakość usług oraz komfort pacjenta. Warto również zwrócić uwagę na atmosferę panującą w klinice; przyjazna obsługa i komfortowe warunki mogą znacznie ułatwić cały proces leczenia.
Jakie są nowoczesne technologie w implantologii stomatologicznej?
Nowoczesna implantologia stomatologiczna korzysta z zaawansowanych technologii, które znacząco poprawiają efektywność oraz bezpieczeństwo zabiegów. Jedną z takich innowacji jest wykorzystanie tomografii komputerowej, która pozwala na precyzyjne obrazowanie struktury kości oraz planowanie zabiegu. Dzięki temu lekarze mogą dokładnie ocenić warunki anatomiczne pacjenta i dostosować technikę wszczepienia implantu do indywidualnych potrzeb. Kolejną nowością są implanty cyfrowe, które można zaprojektować i wykonać przy użyciu technologii CAD/CAM, co zwiększa ich precyzję oraz dopasowanie do naturalnych zębów pacjenta. Warto również wspomnieć o technice „one day implant”, która umożliwia wszczepienie implantu oraz osadzenie korony w jednym dniu, co znacznie skraca czas leczenia. Dodatkowo, zastosowanie materiałów biokompatybilnych oraz powłok antybakteryjnych na implantach zmniejsza ryzyko infekcji oraz przyspiesza proces gojenia.
Jakie są najnowsze badania dotyczące implantów zębowych?
Najnowsze badania dotyczące implantów zębowych koncentrują się na poprawie ich trwałości oraz integracji z tkankami kostnymi. Wiele badań analizuje wpływ różnych materiałów używanych do produkcji implantów, takich jak tytan czy ceramika, na proces gojenia oraz długoterminową funkcjonalność. Inne badania skupiają się na zastosowaniu komórek macierzystych w regeneracji kości wokół implantu, co może przyspieszyć proces gojenia i zwiększyć stabilność implantu. Istotnym obszarem badań jest także analiza wpływu czynników biologicznych, takich jak stan zdrowia pacjenta czy obecność chorób przyzębia, na sukces leczenia implantologicznego. W ostatnich latach rośnie również zainteresowanie zastosowaniem technologii 3D w projektowaniu i produkcji implantów, co pozwala na jeszcze lepsze dopasowanie do indywidualnych potrzeb pacjentów.








